Menu
Contact Us Online Booking
Referrals
Blog - Mill Hill Dental Practice

20th May 2019

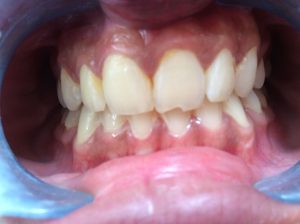
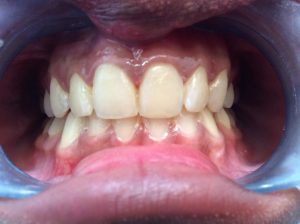
Chip repaired with a tooth coloured composite filling material.

Chipped upper front tooth

Chip repaired with a tooth coloured composite filling material.

Back to Blog

Categories

Recent Posts

20th May 2019

We regularly achieve top whitening shades for just £250

20th May 2019

NHS non cosmetic filling and onlay

14th May 2019

The Journey

8th June 2020

Coronavirus: PPE Cost will ‘cripple’ Dental Services

Treatments

First impressions count

Achieve the smile you desire with
our professional treatments.

Learn More
Treatment Category - Mill Hill Dental Practice

General Dentistry

Treatment Category - Mill Hill Dental Practice

Cosmetic Dentistry

Treatment Category - Mill Hill Dental Practice

Invisalign®

Treatment Category - Mill Hill Dental Practice

Dental Implants

Treatment Category - Mill Hill Dental Practice

General Dentistry

Treatment Category - Mill Hill Dental Practice

Cosmetic Dentistry

Treatment Category - Mill Hill Dental Practice

Invisalign®

Treatment Category - Mill Hill Dental Practice

Dental Implants

Get in touch

Follow Us On Instagram

our partners

as seen on

Referrals Referrals Online Booking 020 8959 1208 Contact Us
Google Rating
4.7
Google Rating
Google Review
Google-review
Google Review
Doctify